Gudang Informasi

What Cancers Are Found In Bone Marrow - Cancer, A Lab Tech 's Perspective: 10/16/11 - 10/23/11 : This type of cancer usually gets worse quickly if it is not treated.

What Cancers Are Found In Bone Marrow - Cancer, A Lab Tech 's Perspective: 10/16/11 - 10/23/11 : This type of cancer usually gets worse quickly if it is not treated.
What Cancers Are Found In Bone Marrow - Cancer, A Lab Tech 's Perspective: 10/16/11 - 10/23/11 : This type of cancer usually gets worse quickly if it is not treated.

What Cancers Are Found In Bone Marrow - Cancer, A Lab Tech 's Perspective: 10/16/11 - 10/23/11 : This type of cancer usually gets worse quickly if it is not treated.. Blood cancers, including leukemia, lymphoma, or multiple myeloma a fever with an unknown cause It is important to note that bone marrow cancer includes leukemias, multiple myeloma, and others. Healthy plasma cells help you fight infections by making antibodies that recognize and attack germs. Blood cancer cure is a common type of cancer majorly attacks the blood, bone marrow, or lymphatic system. Bone marrow is the spongy tissue inside some of your bones, such as your hip and thigh bones.

These procedures collect a sample of bone marrow. A tumor that has metastasized to bone is not made of bone cells. If the spread is not controlled, cancer can result in death. Healthy plasma cells help you fight infections by making antibodies that recognize and attack germs. They may crowd out normal white blood cells, red blood cells and platelets, making it difficult for normal blood cells to do their work.

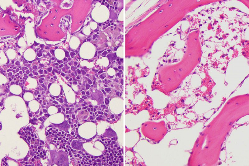
Bolstering fat cells offers potential new leukemia ...
Bolstering fat cells offers potential new leukemia ... from media.eurekalert.org
Several types of cancer, including multiple myeloma, leukemia, and lymphoma, can develop in the bone marrow. Definition cancer is not just one disease, but a large group of almost 100 diseases. Bone marrow cancer includes leukemias and multiple myeloma. These procedures collect a sample of bone marrow. Our experts at upmc children's hospital of pittsburgh treat a range of genetic and acquired bone marrow failure disorders: In other blood cancers, the malignant cells spread to the marrow but do so only later in the disease, after getting their start in the lymph nodes or spleen, for instance. Bone marrow cancer bone marrow cancer is defined as the cancerous growth of cell or malignant cells which develop in the blood forming cells of the bone marrow which is the soft tissue in the center of the bones in the body. White blood cells, which can be granulocytes or lymphocytes , develop in the bone.

Myeloma is often called multiple myeloma because most people (90%) have multiple bone lesions at the time it is diagnosed.

Bone cancer is rare, making up less than 1 percent of all cancers. Bone cancer can begin in any bone in the body, but it most commonly affects the pelvis or the long bones in the arms and legs. They are part of the immune system and help fight infection. There are different types of primary bone cancers, like osteosarcoma and ewing sarcoma. Bone marrow is the spongy tissue inside some of your bones, such as your hip and thigh bones. Cancer that starts in the bone is called primary bone cancer. A tumor that has metastasized to bone is not made of bone cells. It may be that a person has a blood cancer such as leukemia, lymphoma, or myeloma. Your doctor uses a bone marrow test to examine the fluid and tissue in your marrow. Healthy plasma cells help you fight infections by making antibodies that recognize and attack germs. Three significant kinds of blood cancers are as leukemia, lymphoma, and multiple myeloma. Aplastic anemia, a condition in which damaged stem cells keep the body from making enough new blood cells. In some blood cancers, malignant cells originate in the bone marrow.

Most common bone marrow diseases leukemia. Aplastic anemia, a condition in which damaged stem cells keep the body from making enough new blood cells. Myeloma is a type of blood cancer that develops from plasma cells in the bone marrow. Leukemia, a type of cancer found in your blood and bone marrow, is caused by the rapid production of abnormal white blood cells. There are three main types of blood cancers.

Bone marrow cancer, X-ray - Stock Image - M134/0439 ...
Bone marrow cancer, X-ray - Stock Image - M134/0439 ... from media.sciencephoto.com
Multiple myeloma is a cancer that forms in a type of white blood cell called a plasma cell. Some changes to blood cells can be detected in marrow samples before they can be seen in blood samples. The high number of abnormal white blood cells are not able to fight infection, and they impair the ability of the bone marrow to produce red blood cells and platelets. You usually have both of these tests done at the same time. It is important to note that bone marrow cancer includes leukemias, multiple myeloma, and others. Your doctor uses a bone marrow test to examine the fluid and tissue in your marrow. Bone marrow contains stem cells that develop into various types of blood cell,. Leukemia can be either acute or chronic.

Blood cancers, including leukemia, lymphoma, or multiple myeloma a fever with an unknown cause

Definition cancer is not just one disease, but a large group of almost 100 diseases. Bone metastases are made up of abnormal cancer cells that started from the original (primary) tumor site. Its two main characteristics are uncontrolled growth of the cells in the human body and the ability of these cells to migrate from the original site and spread to distant sites. Bone marrow contains stem cells that develop into various types of blood cell,. The tests help determine whether cancer or another disease is affecting blood cells or marrow, as well as the extent of the disease. If the spread is not controlled, cancer can result in death. Several types of cancer, including multiple myeloma, leukemia, and lymphoma, can develop in the bone marrow. The high number of abnormal white blood cells are not able to fight infection, and they impair the ability of the bone marrow to produce red blood cells and platelets. Talk to your doctor right away if you are experiencing any of these symptoms. Bone marrow is the spongy tissue inside some of your bones, such as your hip and thigh bones. As in all cancers, the disease occurs because too many cells are created uncontrollably. This type of cancer usually gets worse quickly if it is not treated. In a person with leukemia, for example, the bone marrow makes abnormal white blood cells, called leukemia cells.

Leukemia is a type of cancer found in your blood and bone marrow and is caused by the rapid production of abnormal white blood cells. Bone marrow cancer includes leukemias and multiple myeloma. Leukemia can be either acute or chronic. As in all cancers, the disease occurs because too many cells are created uncontrollably. Bone marrow contains stem cells that develop into various types of blood cell,.

What is multiple Myeloma, a type of bone marrow cancer?
What is multiple Myeloma, a type of bone marrow cancer? from img.gentside.co.uk
A tumor that has metastasized to bone is not made of bone cells. The tests help determine whether cancer or another disease is affecting blood cells or marrow, as well as the extent of the disease. Information on osteosarcoma1, ewing tumors2 (ewingsarcomas), and bone metastasis3 is covered separately. Bone cancer can destroy bone marrow tissue and the body's ability to manufacture red blood cells, thereby causing anemia. Marrow's main job is to make blood cells. Bone cancer can begin in any bone in the body, but it most commonly affects the pelvis or the long bones in the arms and legs. Bone cancer is rare, making up less than 1 percent of all cancers. White blood cells, which can be granulocytes or lymphocytes , develop in the bone.

Aplastic anemia, a condition in which damaged stem cells keep the body from making enough new blood cells.

Information on osteosarcoma1, ewing tumors2 (ewingsarcomas), and bone metastasis3 is covered separately. In multiple myeloma, cancerous plasma cells accumulate in the bone marrow and crowd out healthy blood cells. Its two main characteristics are uncontrolled growth of the cells in the human body and the ability of these cells to migrate from the original site and spread to distant sites. Leukemia is a type of cancer found in your blood and bone marrow and is caused by the rapid production of abnormal white blood cells. Swollen lymph nodes, liver and spleen. Some changes to blood cells can be detected in marrow samples before they can be seen in blood samples. Located deep within the marrow are stem cells, which can develop into red blood cells, white blood cells, and platelets. Leukemia, a type of cancer found in your blood and bone marrow, is caused by the rapid production of abnormal white blood cells. As in all cancers, the disease occurs because too many cells are created uncontrollably. Talk to your doctor right away if you are experiencing any of these symptoms. This type of cancer usually gets worse quickly if it is not treated. In some blood cancers, malignant cells originate in the bone marrow. They are part of the immune system and help fight infection.

Advertisement